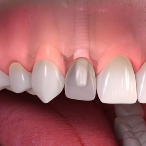
Einzelzahnverlust
Beim Einzelzahnverlust ist der Einzatz einer Brücke als konventionelle Maßnahme durchaus verbreitet. Allerdings ist es dazu notwendig, die benachbarten, gesunden Zähne zu beschleifen und mit entsprechenden Kronen zu versehen.
Das kann durch Einsetzen einer künstlichen Titan-Zahnwurzel verhindert werden. Auch Einzelzahnimplantate können mittlerweile der Farbe der umliegenden Zähne so gut angepasst werden, dass es keine sichtbaren Unterschiede gibt.
Zur schonenden Vorgehensweise (s. Animation):
Das kann durch Einsetzen einer künstlichen Titan-Zahnwurzel verhindert werden. Auch Einzelzahnimplantate können mittlerweile der Farbe der umliegenden Zähne so gut angepasst werden, dass es keine sichtbaren Unterschiede gibt.
Zur schonenden Vorgehensweise (s. Animation):
- Freilegen der Insertationsstelle
- Anlegen des Bohrstollens
- Inserieren des Implantats
- Einschrauben der Einheilkappe
- Adaptieren der Schleimhaut
- Entfernen der Einheilkappe
- Einsetzen des Sekundärteils
- Aufsetzen des Keramik-Skundärteils
- Aufzementieren der Keramikverblendkrone






Mehrzahnersatz
Häufig sind die Backenzähne die ersten Zähne, die entfernt und ersetzt werden müssen. Fehlen einer Kieferhälfte die Backenzähne komplett, spricht man von einer Freiend-Situation oder verkürzter Zahnreihe. Die Versorgung mittels Brücke ist durch das Fehlen des hinteren Backenzahns deshalb nicht mehr möglich.
Um die Nachteile einer herausnehmbaren Teilprothese zu vermeiden, empfehlen wir den Einsatz einer festsitzenden Brückenkonstruktion auf Implantaten.
Zur schonenden Vorgehensweise (s. Animation):
Um die Nachteile einer herausnehmbaren Teilprothese zu vermeiden, empfehlen wir den Einsatz einer festsitzenden Brückenkonstruktion auf Implantaten.
Zur schonenden Vorgehensweise (s. Animation):
- Freilegen der Insertationsstelle
- Anlegen der Bohrstollen
- Schneiden der Gewinde
- Inserieren der Implantate
- Einschrauben der Einheilkappen
- Adaptieren der Schleimhaut
- Entfernen der Einheilkappen
- Einsetzen der Sekundärteile
- Einsetzen der Brückenkonstruktion






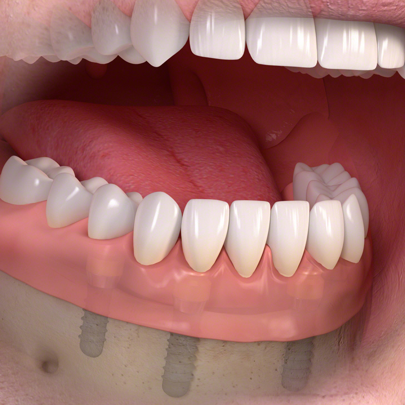
Totaler Zahnverlust
Im Normalfall kann bei einem komplett zahnlosen Kiefer durch Saugwirkung ein gewisser Halt der Totalprothese erzielt werden.
Um jedoch die Lebensqualität des Patienten zu verbessern und einen 100%-igen Sitz zu gewährleisten, empfehlen wir in diesem Fall eine implantatgetragene Prothese oder sogar festsitzenden Zahnersatz durch entsprechend viele Implantate. Dieser wirkt unter anderem auch der Kieferknochenrückbildung entgegen.
Zur schonenden Vorgehensweise (s. Animation):
Um jedoch die Lebensqualität des Patienten zu verbessern und einen 100%-igen Sitz zu gewährleisten, empfehlen wir in diesem Fall eine implantatgetragene Prothese oder sogar festsitzenden Zahnersatz durch entsprechend viele Implantate. Dieser wirkt unter anderem auch der Kieferknochenrückbildung entgegen.
Zur schonenden Vorgehensweise (s. Animation):
- Freilegen der Insertationsstelle
- Anlegen der Bohrstollen
- Schneiden der Gewinde
- Inserieren der Implantate
- Einschrauben der Einheilkappen
- Adaptieren der Schleimhaut
- Entfernen der Einheilkappen
- Einsetzen der Sekundärteile
- Aufsetzen der Titanzylinder
- Einsetzen der Prothese





